Pubblicazioni
Sphincter-saving procedure for a rare case of recurrent occult recto-vaginal and horseshoe anal fistual
In this article we report the case of a 58 years old nulliparous woman who suffered from an abscess from letf Bartholin’s gland.
SNAPSHOTS OF IV-DEGREE OASIs REPAIR FOLLOWING INSTRUMENTAL VAGINAL DELIVERY
In this article we report a case of IV-dergee OASIs after instrumental delivery with vacuum cup.
L’ECOGRAFIA-TRANSRETTALE E LA RISONANZA MAGNETICANELLA STADIAZIONE DEI TUMORI DEL RETTO BASSOsec. LA CLASSIFICAZIONE DI RULLIER E.
L’articolo presenterà lo studio prospettico condotto da Rullier E e coll, svolto su 404 pazienti con cancro del retto basso i quali saranno candidati per 4 diverse tipologie di intervento.
A New Concept in Bariatric Surgery. Single Anastomosis Gastro-Ileal (SAGI): Technical Details and Preliminary Results
The OAGB has become one of the most popular operation worldwide: in this article we report how we modified this technique creating the SAGI, single anastomosis gastro-ileal bypass.
An unusual case of acute appendicitis
In this article we report the case of appendiceal obstruction by a bullet which was inadvertently ingested while eatinf the meat od a game bird (quail).
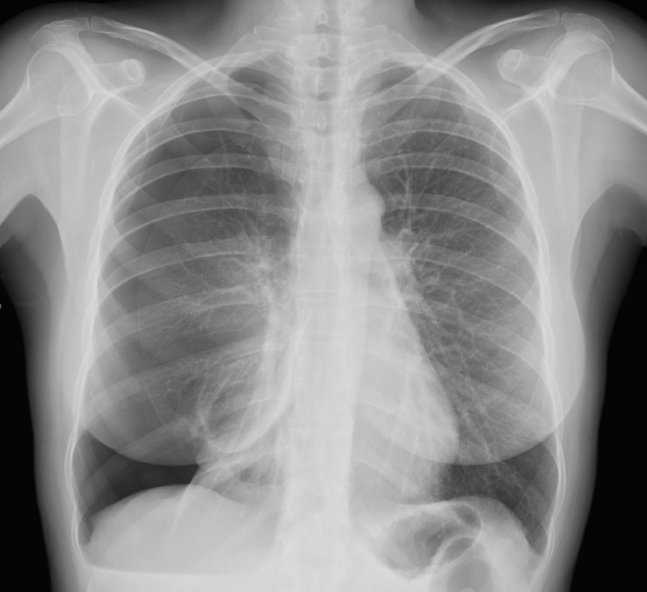
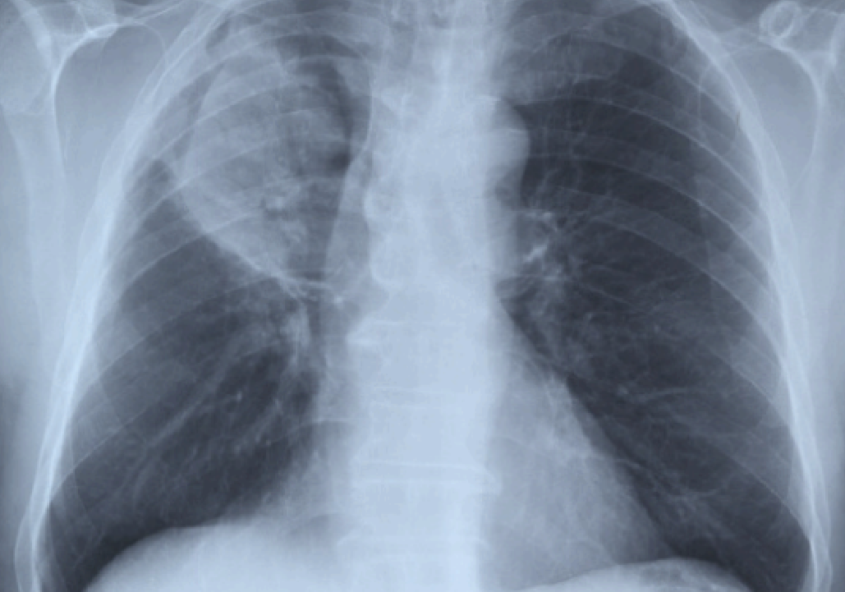
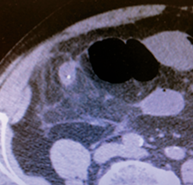
Catamenial Pneumothorax: A Challenging Diagnosis
Catamenial pneumothorax is the most frequent manifestation of thoracic endometriosis: this article is about a case in which the diagnosis was formulater only when a temporal connection with menstrual bleeding was noticed and when implementation of a specific medical treatment was able to prevent further recurrences of the desease.
Complications of laparoscopic gastric banding: detection and treatment
Laparoscopic adjustable gastric banding (LAGB) is a popular and effective surgical option in the management of obesity and related metabolic diseases. Throught this study we analyzed the most common complications of this procedure.
Intestinal kinking after “double loop” Roux-en-Y gastric bypass: a possible pitfall of the methodology
In this article we ctudy the case of a class III obesity woman who had shown clear signs of intestinal obstruction one month later her “double loop” gastric bypass.
Management and outcome of 308 cases of liver trauma in Bologna Trauma Center in 10 years
During 2000-2009 period 308 patients with liver injury were admitted to level 1 trauma center and recorded in Trauma Registry: in this article we analyze these cases to come to the conclusino that NOM ± angioembolization is safe and effective.
Pneumonectomy As A Salvage Therapy: A Rare Indication For A Gastric Malt Lymphoma Disseminated To The Lung
In this article we present a rare case of gastric MALT lymphoma cured with a pneumonectomy instead of the traditional procedures.
