Pubblicazioni
TERAPIA CON ANTI-ORMONI IN UN SUBDOLO CASO DI PNX CATAMENIALE
Lo pneumotorace (PNX) catameniale, l’espressione patologica più frequente dell’endometriosi toracica, è la patologia affrontata in questo articolo: attraverso l’analisi di un caso clinico, si giunge alla conclusione che la cura più indicata è la chirurgia con asportazione delle isole di endometriosi.
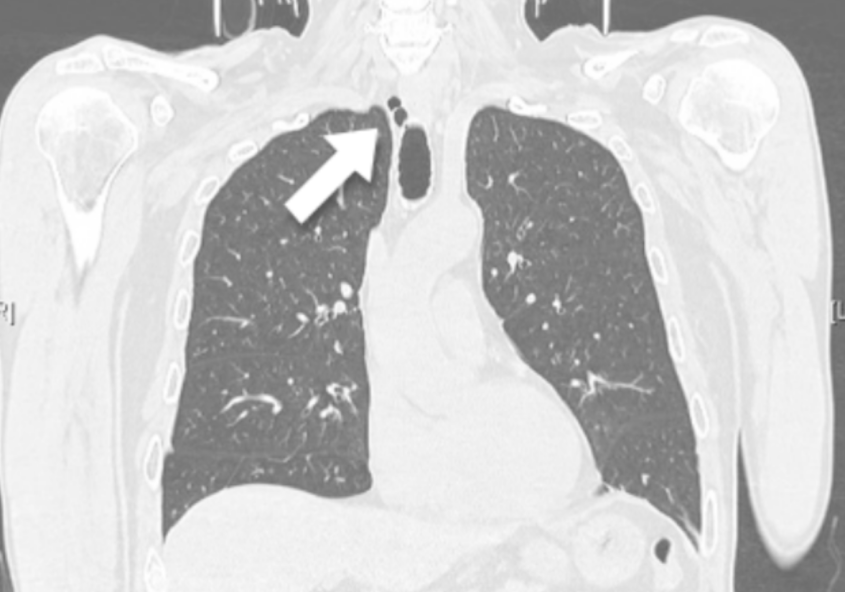
Tracheal Diverculum: A Rare Entity Diagnosed in the Contextof Blunt Thoracic Trauma Report of A Case
On this article we present a rare case of TD, tracheal diverticulum, that has been unusually diagnosed by direct bronchoscopic visualization.
Two Cases of Diaphragmatic Hernia (Congenital and Post-Traumatic) Primarily Treated by Laparotomic Access: Critical Appraisal of Operative Strategy
We report a case of congenital diaphragmatic hernia and a case
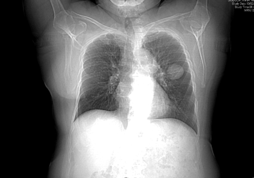
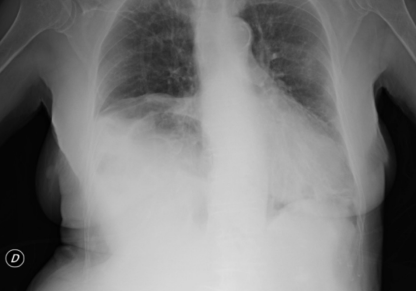
of a post – traumatic one, which have been treated by a laparoscpic access.When A Lung Nodule is not the Usual Lung Nodule: the RareEntity of PEComa
In this article we report a rare case of perivascular epithelioid cell tumors which had been diagnosed in a 70 year old lady treated with upper left lobectomy.
Thirty days post-operative complicationsafter Sleeve Gastrectomy, GastricBypass and Mini Gastric Bypass/oneAnastomosis Gastric Bypass. Analysis ofthe Italian Society for Bariatric Surgeryand Metabolic Disorders (S.I.C.OB.)database of 7 years time frame
In this article we analyse some early post-operative complications qualitatively, quantitatively and on the basis of the Clavien-Dindo classification of surgical complications. These analysis were based on 3 major operations: RYGB, SG and MGB/OAGB.
A New Concept in Bariatric Surgery. Single Anastomosis Gastro-Ileal (SAGI)/ Technical Details and Preliminary Results
Surgery has proven to be the most effective treatment for
obesity and weight-related diseases…
